Estoy de acuerdo con los
Términos y condiciones
y los
Política de privacidad
QUIERO RECIBIR EL BOLETÍN DIARIO
Hemeroteca
Suscripción
WHAT ARE YOU LOOKING FOR?
Popular Tags
Zubimendi
Zonas de Bajas Emisiones
Zinédine Zidane
Zaragoza
Zamora
YouTube
Yolanda Díaz
Yamaha
Jueves, 16 de abril de 2026
ACTUALIDAD
Sucesos
Tribunales
Economía
Turismo
Política en Madrid
Estilo
Educación
Medio Ambiente
Sanidad en Madrid
Transportes
Solidaridad
Obituarios
Madrid
Arganzuela
Barajas
Carabanchel
Centro
Chamartín
Chamberí
Ciudad Lineal
Fuencarral
Hortaleza
Latina
Moncloa
Moratalaz
P. Vallecas
Retiro
Salamanca
San Blas
Tetuán
Usera
Vicálvaro
Villa Vallecas
Villaverde
MUNICIPIOS
Ajalvir
Alameda del Valle
Alcalá de Henares
Alcobendas
Alcorcón
Aldea del Fresno
Algete
Alpedrete
Ambite
Anchuelo
Aranjuez
Arganda del Rey
Arroyomolinos
Batres
Becerril
Belmonte
Berzosa
Boadilla
Braojos
Brea
Brunete
Buitrago
Bustarviejo
Cabanillas
Cadalso
Camarma
Campo Real
Canencia
Carabaña
Casarrubuelos
Cenicientos
Cercedilla
Cervera
Chapinería
Chinchón
Ciempozuelos
Cobeña
Collado
Collado Villalba
Colmenar de Oreja
Colmenar del Arroyo
Colmenar Viejo
Colmenarejo
Corpa
Coslada
Cubas
Daganzo de Arriba
El Álamo
El Atazar
El Berrueco
El Boalo
El Escorial
El Molar
El Vellón
Estremera
Fresnedillas
Fresno
Fuenlabrada
Fuente el Saz
Fuentidueña
Galapagar
Garganta
Gargantilla
Gascones
Getafe
Griñón
Guadalix
Guadarrama
Horcajo
Horcajuelo
Hoyo
Humanes
La Acebeda
La Cabrera
La Hiruela
La Serna
Las Rozas
Leganés
Loeches
Los Molinos
Los Santos
Lozoya
Lozoyuela
Madarcos
Majadahonda
Manzanares
Meco
Mejorada
Miraflores
Montejo
Moraleja de Enmedio
Moralzarzal
Morata
Móstoles
Navacerrada
Navalafuente
Navalagamella
Navalcarnero
Navarredonda
Navas
Nuevo Baztán
Olmeda
Orusco
Paracuellos
Parla
Patones
Pedrezuela
Pelayos
Perales
Pezuela
Pinilla
Pinto
Piñuécar-Gandullas
Pozuelo de Alarcón
Pozuelo del Rey
Prádena
Puebla
Puentes Viejas
Quijorna
Rascafría
Redueña
Ribatejada
Rivas-Vaciamadrid
Robledillo
Robledo de Chavela
Robregordo
Rozas de Puerto Real
San Agustín del Guadalix
San Fernando
San Lorenzo
San Martín
San Martín Vega
San Sebastián de los Reyes
Santa María de la Alameda
Santorcaz
Serranillos
Sevilla la Nueva
Somosierra
Soto del Real
Talamanca
Tielmes
Titulcia
Torrejón
Torrejón de la Calzada
Torrejón de Velasco
Torrelaguna
Torrelodones
Torremocha
Torres de la Alameda
Tres Cantos
Valdaracete
Valdeavero
Valdelaguna
Valdemanco
Valdemaqueda
Valdemorillo
Valdemoro
Valdeolmos-A.
Valdepiélagos
Valdetorres
Valdilecha
Valverde
Velilla
Venturada
Villa del Prado
Villaconejos
Villalbilla
Villamanrique de Tajo
Villamanta
Villamantilla
Villanueva de la Cañada
Villanueva de Perales
Villanueva del Pardillo
Villar
Villarejo
Villaviciosa
Villavieja
Zarzalejo
OPINIÓN
OCIO y CULTURA
DEPORTES
Fútbol
Baloncesto
Automovilismo
Tenis
Atletismo
Ciclismo
Hípica
Polideportivo
SOCIEDAD
Viajes
Salud
Decoración
Tecnología
Comunicación
Motor
Religión
Ciencia
QUÉ HACER...
Exposiciones
Conciertos
Teatro
Cine
Planes
Festivales
Danza
Qué ver
ESPAÑA
Sanidad en España
Noticias de turismo en España
Política Nacional
Autonomías
Economía
INTERNACIONAL
INFO ÚTIL
Misas
Hemeroteca
Plano Metro
Bus
Farmacias
Horario Cercanías Madrid
Horóscopo Guasón de Madrid
Apuestas
Jueves, 16 de abril de 2026
ACTUALIDAD
Sucesos
Tribunales
Economía
Turismo
Política en Madrid
Estilo
Educación
Medio Ambiente
Sanidad en Madrid
Transportes
Solidaridad
Obituarios
Madrid
Arganzuela
Barajas
Carabanchel
Centro
Chamartín
Chamberí
Ciudad Lineal
Fuencarral
Hortaleza
Latina
Moncloa
Moratalaz
P. Vallecas
Retiro
Salamanca
San Blas
Tetuán
Usera
Vicálvaro
Villa Vallecas
Villaverde
MUNICIPIOS
Ajalvir
Alameda del Valle
Alcalá de Henares
Alcobendas
Alcorcón
Aldea del Fresno
Algete
Alpedrete
Ambite
Anchuelo
Aranjuez
Arganda del Rey
Arroyomolinos
Batres
Becerril
Belmonte
Berzosa
Boadilla
Braojos
Brea
Brunete
Buitrago
Bustarviejo
Cabanillas
Cadalso
Camarma
Campo Real
Canencia
Carabaña
Casarrubuelos
Cenicientos
Cercedilla
Cervera
Chapinería
Chinchón
Ciempozuelos
Cobeña
Collado
Collado Villalba
Colmenar de Oreja
Colmenar del Arroyo
Colmenar Viejo
Colmenarejo
Corpa
Coslada
Cubas
Daganzo de Arriba
El Álamo
El Atazar
El Berrueco
El Boalo
El Escorial
El Molar
El Vellón
Estremera
Fresnedillas
Fresno
Fuenlabrada
Fuente el Saz
Fuentidueña
Galapagar
Garganta
Gargantilla
Gascones
Getafe
Griñón
Guadalix
Guadarrama
Horcajo
Horcajuelo
Hoyo
Humanes
La Acebeda
La Cabrera
La Hiruela
La Serna
Las Rozas
Leganés
Loeches
Los Molinos
Los Santos
Lozoya
Lozoyuela
Madarcos
Majadahonda
Manzanares
Meco
Mejorada
Miraflores
Montejo
Moraleja de Enmedio
Moralzarzal
Morata
Móstoles
Navacerrada
Navalafuente
Navalagamella
Navalcarnero
Navarredonda
Navas
Nuevo Baztán
Olmeda
Orusco
Paracuellos
Parla
Patones
Pedrezuela
Pelayos
Perales
Pezuela
Pinilla
Pinto
Piñuécar-Gandullas
Pozuelo de Alarcón
Pozuelo del Rey
Prádena
Puebla
Puentes Viejas
Quijorna
Rascafría
Redueña
Ribatejada
Rivas-Vaciamadrid
Robledillo
Robledo de Chavela
Robregordo
Rozas de Puerto Real
San Agustín del Guadalix
San Fernando
San Lorenzo
San Martín
San Martín Vega
San Sebastián de los Reyes
Santa María de la Alameda
Santorcaz
Serranillos
Sevilla la Nueva
Somosierra
Soto del Real
Talamanca
Tielmes
Titulcia
Torrejón
Torrejón de la Calzada
Torrejón de Velasco
Torrelaguna
Torrelodones
Torremocha
Torres de la Alameda
Tres Cantos
Valdaracete
Valdeavero
Valdelaguna
Valdemanco
Valdemaqueda
Valdemorillo
Valdemoro
Valdeolmos-A.
Valdepiélagos
Valdetorres
Valdilecha
Valverde
Velilla
Venturada
Villa del Prado
Villaconejos
Villalbilla
Villamanrique de Tajo
Villamanta
Villamantilla
Villanueva de la Cañada
Villanueva de Perales
Villanueva del Pardillo
Villar
Villarejo
Villaviciosa
Villavieja
Zarzalejo
OPINIÓN
OCIO y CULTURA
DEPORTES
Fútbol
Baloncesto
Automovilismo
Tenis
Atletismo
Ciclismo
Hípica
Polideportivo
SOCIEDAD
Viajes
Salud
Decoración
Tecnología
Comunicación
Motor
Religión
Ciencia
QUÉ HACER...
Exposiciones
Conciertos
Teatro
Cine
Planes
Festivales
Danza
Qué ver
ESPAÑA
Sanidad en España
Noticias de turismo en España
Política Nacional
Autonomías
Economía
INTERNACIONAL
INFO ÚTIL
Misas
Hemeroteca
Plano Metro
Bus
Farmacias
Horario Cercanías Madrid
Horóscopo Guasón de Madrid
Apuestas
Autores en Madrid Actual
Ainhoa Guzmán
El Plan Joven de Tielmes entrega 19 viviendas de protección oficial
Tielmes
18 Noviembre 2013
Leer más
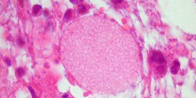
Crean unos 'minirriñones' a partir de células madre
Salud y Bienestar
18 Noviembre 2013
Leer más
1
2
3
4
5
6
7
8
9
Back To Top
ACTUALIDAD
Sucesos
Tribunales
Economía
Turismo
Política en Madrid
Estilo
Educación
Medio Ambiente
Sanidad en Madrid
Transportes
Solidaridad
Obituarios
Madrid
Arganzuela
Barajas
Carabanchel
Centro
Chamartín
Chamberí
Ciudad Lineal
Fuencarral
Hortaleza
Latina
Moncloa
Moratalaz
P. Vallecas
Retiro
Salamanca
San Blas
Tetuán
Usera
Vicálvaro
Villa Vallecas
Villaverde
MUNICIPIOS
Ajalvir
Alameda del Valle
Alcalá de Henares
Alcobendas
Alcorcón
Aldea del Fresno
Algete
Alpedrete
Ambite
Anchuelo
Aranjuez
Arganda del Rey
Arroyomolinos
Batres
Becerril
Belmonte
Berzosa
Boadilla
Braojos
Brea
Brunete
Buitrago
Bustarviejo
Cabanillas
Cadalso
Camarma
Campo Real
Canencia
Carabaña
Casarrubuelos
Cenicientos
Cercedilla
Cervera
Chapinería
Chinchón
Ciempozuelos
Cobeña
Collado
Collado Villalba
Colmenar de Oreja
Colmenar del Arroyo
Colmenar Viejo
Colmenarejo
Corpa
Coslada
Cubas
Daganzo de Arriba
El Álamo
El Atazar
El Berrueco
El Boalo
El Escorial
El Molar
El Vellón
Estremera
Fresnedillas
Fresno
Fuenlabrada
Fuente el Saz
Fuentidueña
Galapagar
Garganta
Gargantilla
Gascones
Getafe
Griñón
Guadalix
Guadarrama
Horcajo
Horcajuelo
Hoyo
Humanes
La Acebeda
La Cabrera
La Hiruela
La Serna
Las Rozas
Leganés
Loeches
Los Molinos
Los Santos
Lozoya
Lozoyuela
Madarcos
Majadahonda
Manzanares
Meco
Mejorada
Miraflores
Montejo
Moraleja de Enmedio
Moralzarzal
Morata
Móstoles
Navacerrada
Navalafuente
Navalagamella
Navalcarnero
Navarredonda
Navas
Nuevo Baztán
Olmeda
Orusco
Paracuellos
Parla
Patones
Pedrezuela
Pelayos
Perales
Pezuela
Pinilla
Pinto
Piñuécar-Gandullas
Pozuelo de Alarcón
Pozuelo del Rey
Prádena
Puebla
Puentes Viejas
Quijorna
Rascafría
Redueña
Ribatejada
Rivas-Vaciamadrid
Robledillo
Robledo de Chavela
Robregordo
Rozas de Puerto Real
San Agustín del Guadalix
San Fernando
San Lorenzo
San Martín
San Martín Vega
San Sebastián de los Reyes
Santa María de la Alameda
Santorcaz
Serranillos
Sevilla la Nueva
Somosierra
Soto del Real
Talamanca
Tielmes
Titulcia
Torrejón
Torrejón de la Calzada
Torrejón de Velasco
Torrelaguna
Torrelodones
Torremocha
Torres de la Alameda
Tres Cantos
Valdaracete
Valdeavero
Valdelaguna
Valdemanco
Valdemaqueda
Valdemorillo
Valdemoro
Valdeolmos-A.
Valdepiélagos
Valdetorres
Valdilecha
Valverde
Velilla
Venturada
Villa del Prado
Villaconejos
Villalbilla
Villamanrique de Tajo
Villamanta
Villamantilla
Villanueva de la Cañada
Villanueva de Perales
Villanueva del Pardillo
Villar
Villarejo
Villaviciosa
Villavieja
Zarzalejo
OPINIÓN
OCIO y CULTURA
DEPORTES
Fútbol
Baloncesto
Automovilismo
Tenis
Atletismo
Ciclismo
Hípica
Polideportivo
SOCIEDAD
Viajes
Salud
Decoración
Tecnología
Comunicación
Motor
Religión
Ciencia
QUÉ HACER...
Exposiciones
Conciertos
Teatro
Cine
Planes
Festivales
Danza
Qué ver
ESPAÑA
Sanidad en España
Noticias de turismo en España
Política Nacional
Autonomías
Economía
INTERNACIONAL
INFO ÚTIL
Misas
Hemeroteca
Plano Metro
Bus
Farmacias
Horario Cercanías Madrid
Horóscopo Guasón de Madrid
Apuestas